Oftalmologista e Cirurgiã Oculoplástica
CRM-PR 15644 RQE 9192
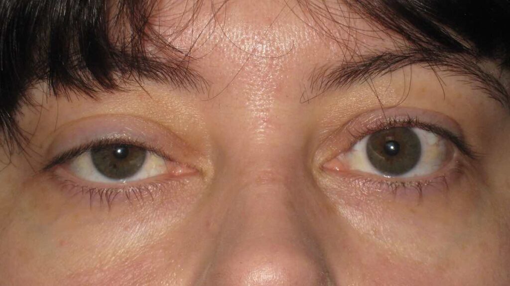
Sou a Dra. Nara e hoje quero falar sobre um problema que muitas vezes é confundido apenas com uma questão estética, mas que também pode afetar a visão: a ptose palpebral. Esse termo médico se refere à queda anormal da pálpebra superior, que pode cobrir parte da pupila e prejudicar o campo visual. A ptose pode acometer um ou ambos os olhos, e sua gravidade varia de casos leves até situações em que a visão fica seriamente comprometida.
A ptose pode ter diversas causas, entre elas:
Envelhecimento: o enfraquecimento natural do músculo que eleva a pálpebra (músculo levantador) é a causa mais comum;
Fatores congênitos: quando a criança já nasce com o músculo da pálpebra pouco desenvolvido;
Traumas oculares: lesões ou cirurgias anteriores podem alterar o funcionamento do músculo;
Doenças neuromusculares: como miastenia gravis ou paralisias que afetam os nervos responsáveis pelos movimentos oculares.
Além do aspecto de “olhar cansado” ou assimetria facial, a ptose pode causar dificuldade para enxergar, especialmente em casos em que a pálpebra cobre parte da pupila. Muitas pessoas acabam levantando as sobrancelhas ou inclinando a cabeça para compensar, o que pode gerar desconforto e dores de cabeça ao longo do tempo.
O diagnóstico da ptose é feito durante a consulta oftalmológica, com uma análise detalhada da posição palpebral, força muscular e impacto na visão. Em alguns casos, exames complementares ajudam a identificar a causa e definir a melhor abordagem terapêutica.
Nem toda ptose exige cirurgia imediata, mas é importante buscar avaliação médica sempre que houver alteração na simetria das pálpebras ou sensação de peso nos olhos. O tratamento é indicado quando há prejuízo estético importante, desconforto ou comprometimento do campo visual.
A principal forma de correção é a cirurgia de ptose palpebral, que tem o objetivo de reposicionar a pálpebra e restaurar a abertura adequada dos olhos. O procedimento é realizado de forma personalizada, respeitando a anatomia de cada paciente. Em muitos casos, é feito com anestesia local e recuperação rápida.
Além de melhorar a aparência e devolver harmonia ao olhar, a correção da ptose traz benefícios funcionais significativos, ampliando o campo visual e reduzindo o cansaço ocular. É um tratamento que alia saúde e estética, proporcionando um olhar mais aberto, leve e natural.
EXCELENTE Com base em 90 avaliações Publicado em Ligia Paulicz25/03/2026Trustindex verifica se a fonte original da avaliação é Google. Dra. Nara e atendentes muito atenciosas e competentes. A Clínica é um local bem acolhedor, tudo novinho e limpo.Publicado em Priscila Sabatke18/02/2026Trustindex verifica se a fonte original da avaliação é Google. muito bem organizado, deste o agendamento. Ter estacionamento no local e a clinica muito bem equipada, e também a Dra NARA REGINA DELAI BIEZUS, excepcional.Publicado em Diego31/01/2026Trustindex verifica se a fonte original da avaliação é Google. TOP 🔝. Super RecomendoPublicado em Sandro Mansur - PPGD UniCuritiba21/01/2026Trustindex verifica se a fonte original da avaliação é Google. A equipe é altamente qualificada! Dra. Nara é uma excelente profissional!Publicado em João José Valentini Neto07/11/2025Trustindex verifica se a fonte original da avaliação é Google. Absolutamente fantástica. Desde o estacionamento, a recepção é em especial a competência e o profissionalismo da Dra. Nara.❤️Certificado: TrustindexO selo verificado do Trustindex é o Símbolo Universal de Confiança. Apenas as melhores empresas podem obter o selo verificado que tem uma pontuação de avaliação acima de 4.5, com base nas avaliações dos clientes nos últimos 12 meses. Leia mais
| Cookie | Duração | Descrição |
|---|---|---|
| cookielawinfo-checkbox-analytics | 11 months | This cookie is set by GDPR Cookie Consent plugin. The cookie is used to store the user consent for the cookies in the category "Analytics". |
| cookielawinfo-checkbox-functional | 11 months | The cookie is set by GDPR cookie consent to record the user consent for the cookies in the category "Functional". |
| cookielawinfo-checkbox-necessary | 11 months | This cookie is set by GDPR Cookie Consent plugin. The cookies is used to store the user consent for the cookies in the category "Necessary". |
| cookielawinfo-checkbox-others | 11 months | This cookie is set by GDPR Cookie Consent plugin. The cookie is used to store the user consent for the cookies in the category "Other. |
| cookielawinfo-checkbox-performance | 11 months | This cookie is set by GDPR Cookie Consent plugin. The cookie is used to store the user consent for the cookies in the category "Performance". |
| viewed_cookie_policy | 11 months | The cookie is set by the GDPR Cookie Consent plugin and is used to store whether or not user has consented to the use of cookies. It does not store any personal data. |